NCBI Isoforms:N |
crRNA Target Site:GTGCACCAGGCTAGATAGTC |
Linker: EFGSTGSTGSTGADPPVAT |
Cas9:Wildtype spCas9 |
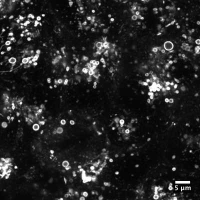
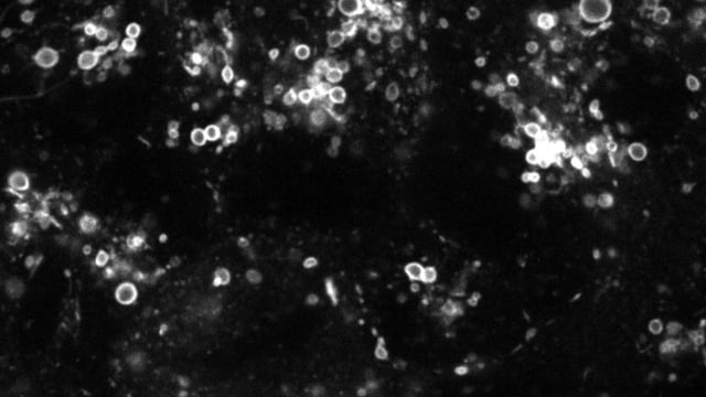
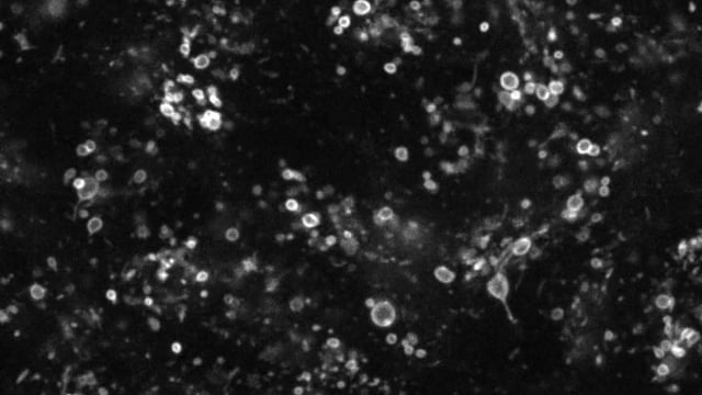
AICS-0022
LAMP1 in WTC-mEGFP (mono-allelic tag)
Single image of a live hiPS cell colony expressing mEGFP tagged LAMP-1 imaged on a spinning-disk confocal microscope. Image is a single slice from a 3D z-stack in the top half of the cell.




EditingDesign
GenomicCharacterization
StemCellCharacteristics
mEGFP Insert

