NCBI Isoforms:N |
crRNA Target Site:GGGGCCACTAGGGACAGGAT |
Linker: NA |
Cas9:Wildtype spCas9 |
AICS-0054
AAVS1 in WTC-mTagRFP-T (mono-allelic tag)
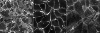
Single-planes of live hiPS cell colony expressing the CAAX domain of K-Ras tagged with mEGFP expressed from a safe harbor locus. Z-planes shown are at the bottom (left), middle (middle) and top (right) of cells. Cells were imaged in 3D on a spinning-disk confocal microscope. Scale bar, 5µm.




EditingDesign
GenomicCharacterization
StemCellCharacteristics
mEGFP Insert

