NCBI Isoforms:NM_006082 |
crRNA Target Site:GATGCACTCACGCTGCGGGA |
Linker: GGSGGS |
Cas9:Wildtype spCas9 |
AICS-0012
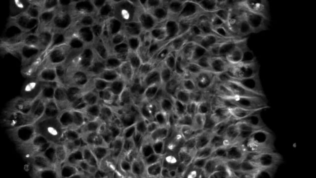
TUBA1B in WTC-mEGFP (mono-allelic tag)
Single image of a live hiPSC colony expressing alpha-tubulin-mEGFP imaged on a spinning-disk confocal microscope. Image is a single slice taken in the middle of the z-stack.





EditingDesign
GenomicCharacterization
StemCellCharacteristics
mEGFP Insert

